FoM logo with purple background
Special stains are special because they are not “Routine.” Unlike routine H & E staining, special stain provides more in-depth information on a particular sample. These stains come especially handy when you need to demonstrate specific elements within the tissue, such as connective tissue, muscle, carbohydrates, lipids, pigments, nerve tissue, and others.

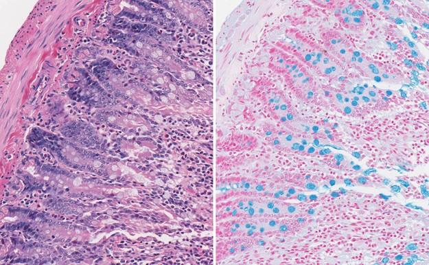
In principle special stains work by taking advantage of intra and extra cellular chemical reactions between the tissue components and dyes. Typically, they use a chemical or dye with an affinity for whatever is under investigation, enabling specific structures, or even microorganisms to be stained. A Special Stain can be used in different tissues for example: Periodic Acid Schiff Stain (PAS): used by pathologist for breast cytology, liver, kidney, lung, fungi, hematopathology, muscle biopsies, pancreas, parotid glands, prostate, Skin, small intestine, testis, enzyme cytochemistry, tumors and others. Masson Trichrome Stain (M-T): will be effective at demonstrating the presence of supporting collagenous stroma in sections from variety of organs. This helps determine the pattern of tissue injury. It will also aid in identifying normal structures, such as connective tissue capsules of organs, the lamina propia of the gastrointestinal tract, and the bronchovascular structures in the lung. Alcian Blue Stain: dyes cartilage but is most used for gastrointestinal (GI) tract and is useful in diagnosing pathological processes such as Barrett’s esophagus. Using different pH (1.0 and 2.5) also helps to differentiate various types of acid mucosubstances.   Special stains are sensitive and subject to high variability depending on the stability of reagents as well as the skill level and experience of the technician.  The skilled and highly specialized personnel of the Louise Pelletier Histology Core Facility provide standard and customized services to support your projects needs and provide an array of Special Stains.

Check our website for a list of Special Stains.

If you do not see the stain listed, please contact us at pathlab@uOttawa.ca or at (613) 562-5800 ext. 8332.

Rat intest -HE vs Alcian
100%
PowerBI Report could not be embedded!